폐렴 진료 환자 1년 새 2.7배 증가
"면역력 낮은 만성질환자 조심"
[뉴스포스트=이별님 기자] 기온이 급격하게 떨어지면서 면역력이 낮은 만성질환자나 노년층의 건강이 우려되고 있다. 특히 폐렴의 경우 환자 발생 건수가 불과 1년 새 3배 가까이 증가해 전문가들이 각별한 주의를 당부했다.
18일 경기도 성남시 분당제생병원이 국민건강보험 건강보험심사평가원 자료를 분석한 결과 지난해 폐렴으로 진료받은 환자는 약 298만명으로, 전년도인 2023년 111만명보다 약 2.7배 증가했다.
폐렴 환자 수는 코로나19 팬데믹 시기에는 감소세를 보였다가 이후 빠르게 증가했다. 2024년에는 마이코플라즈마 폐렴이 확산돼 질병관리청이 유행주의보를 발령하기도 했다.
폐렴은 폐포나 세기관지 등 가스 교환이 일어나는 부위에 염증이 생기는 상태를 의미한다. 세균과 바이러스, 곰팡이 등 미생물 감염으로 발생한다. 영유아부터 노인까지 다양한 연령에서 발병하는 질환이고, 일교차가 크고 기온이 낮은 환절기나 겨울에 많이 확인된다. 특히 고령층에서 더 높은 사망률을 보인다.
이경주 분당제생병원 호흡기 알레르기 내과 주임과장은 "일반적인 폐렴의 증상은 발열·기침·객담·호흡 곤란이 있고, 원인 균주에 따라 흉통 및 객혈이 생긴다"면서 "면역력이 저하되는 고령 환자에게서는 이러한 증상과 증후가 감춰지는 경우가 많다. 전신 쇠약감, 식욕감퇴, 의식 저하나 기저 질환의 악화로 나타나게 된다"고 설명했다.
이어 "다른 증상에 비해 빈호흡이 발생하기도 하고, 30~40%의 환자는 발열이 없기도 하다"면서 "특징적인 증상이 없기 때문에 고령 환자의 폐렴이 늦게 진단돼 상태가 급속하게 나빠지고, 다양한 합병증을 일으켜 위험이 커지는 경우가 많다"고 덧붙였다.
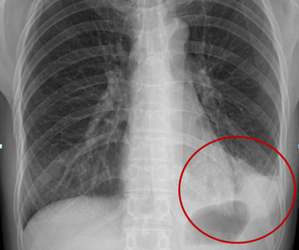
폐렴은 임상적인 증상과 X-RAY 검사를 통해 진단이 가능하다. 폐렴으로 진단되면 환자의 중증도나 사망 위험도에 따라 입원 치료 여부를 결정해야 한다. 특히 노년층의 경우 다른 질환들이 동반하는 경우가 많아 긴 회복 기간이 필요하다.
폐렴을 치료하기 위해서는 조기에 적절한 항생제를 투여하는 것이 중요하다. 일반적으로 5~14일간 항생제를 투여하고, 환자의 상태와 원인 미생물에 따라 치료 기간이 조절될 수 있다. 발열, 기력 저하 등의 증상이 나타날 경우 의료기관을 찾아 진단과 치료를 받아야 한다.
65세 이상 노년층과 만성질환자, 면역저하자에게는 인플루엔자 백신과 폐렴구균 백신 접종이 권장된다. 그 밖에도 건강한 음식물 섭취와 손 씻기, 금주 및 금연, 충분한 수분 섭취, 적절한 운동과 휴식이 중요하다.
